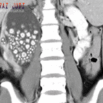
Temuan Kasus Batu Ginjal yang Bikin Heboh, Termasuk 300 Batu Ginjal Pecinta Boba Togel Online Terbaik – Batu ginjal atau nefroliatiasis adalah kondisi akibat terbentuknya endapan padat di dalam ginjal. Batu ginjal bisa terbentuk di sepanjang saluran urine seperti uretra dan kandung kemih. Batu ginjal dalam ukuran kecil memang tidak menimbulkan gejala. Namun, batu ginjal […]
Tag: Togel Online
Tinjau 3 Gereja di Jakarta, Kapolri Bicara Keberagaman,
Tinjau 3 Gereja di Jakarta, Kapolri Bicara Keberagaman, Jaga Persatuan-Kesatuan Bandar Togel Online Terbaik – Kapolri Jenderal Listyo Sigit Prabowo hari ini meninjau Gereja Reformed Injili Indonesia (GRII), Gereja Katedral, GPIB Immanuel, Jakarta. Dalam peluang itu, Sigit berkata soal indahnya keberagaman yang dimiliki Indonesia. “Tentunya ini adalah anugerah Tuhan buat kami semua dan yang […]
Vicky Prasetyo dan Mashanda Lagi Mabuk Asmara,
Vicky Prasetyo dan Marshanda Lagi Mabuk Asmara, Saling Umbar Pujian Togel Online- Publik sedang dihebohkan dengan kedekatan jalinan Vicky Prasetyo dengan Marshanda. Keduanya disebut sedang menjalin jalinan asmara. kedekatan keduanya cukup mengejutkan. Vicky dan Marshanda apalagi secara terang-terangan mengumbar pujian satu sama lain. Apakah mereka pacaran? Meski belum hingga ke tahap yang lebih serius, mereka […]
BYD Tidak Butuh Nikel berasal dari Indonesia, Ini Alasannya
BYD Tidak Butuh Nikel berasal dari Indonesia, Ini Alasannya Togel Sydney – Indonesia kaya akan sumber daya alam. Salah satu sumber daya alam yang banyak ada di Indonesia adalah nikel. Makanya, pemerintah Indonesia kini serius melaksanakan hilirisasi nikel. Tujuan utama hilirisasi nikel adalah menciptakan ekosistem yang kompetitif terhadap rantai nilai baterai litium dan kendaraan listrik. […]
Cerita Natta Reza Yakin Nikah Meski Belum Lihat Wajah
Cerita Natta Reza Yakin Nikah Meski Belum Lihat Wajah-Dengar Suara Wardah Maulina Togel Singapura – Artis Natta Reza telah menikah dengan Wardah Maulina sejak 2017. Ada cerita menarik sebelum mereka mengambil keputusan untuk berumah tangga. Natta Reza hanya jalankan perkenalan selama tiga jam untuk mantap menikah dengan Wardah Maulina. Personel Adam Musik itu memilih perempuan […]
Kanye West Jual Sepatu Kaus Kaki Rp 3,1 Juta
Kanye West Jual Sepatu Kaus Kaki Rp 3,1 Juta, Langsung Banjir Hujatan Togel Online- Baca artikel wolipop, “Kanye West Jual Sepatu Kaus Kaki Rp 3,1 Juta, Langsung Banjir Hujatan” Kanye West kembali menjadi bulan-bulanan di media sosial setelah merilis alas kaki terbaru. Berbentuk sama kaus kaki, sepatu selanjutnya dijual dengan harga yang dinilai tak wajar. […]
Penjelasan Syahnaz Sadiqah Tak Dampingi Jeje
Penjelasan Syahnaz Sadiqah Tak Dampingi Jeje sementara Mertua Meninggal Dunia Agen Bola Terpercaya – Syahnaz Sadiqah terhitung berada di London, Inggris, sementara mertua meninggal dunia. Syahnaz Sadiqah sementara itu ikut menemani Jeje dan Govinda yang bakal rekaman di Abbey Road Studios. Adik Raffi Ahmad itu kini sudah ulang ke Indonesia. Saat mengakses sesi bertanya jawab […]
Arteta: Premier League Makin Sulit Saja
Arteta: Premier League Makin Sulit Saja Live Poker Indonesia – Mikel Arteta sekali lagi meyakini persaingan juara di Premier League semakin sengit. Untuk sekadar menang dari pekan ke pekan saja semakin menantang. Arsenal tetap melekat Liverpool di puncak klasemen Liga Inggris. Keduanya waktu ini terpisah satu poin saja. Keduanya menghadapi laga menantang pekan ini. Arsenal […]
Kang Sora Perdana Ungkap Wajah Putrinya
Kang Sora Perdana Ungkap Wajah Putrinya, Lakukan Maternity Shoot Bersama Situs Poker Terpercaya – Kang Sora udah menyambut kelahiran anak keduanya pada Senin (11/12/2023). Kini, bintang drama Korea Misaeng itu udah dikaruniai dua anak perempuan berasal dari hasil pernikahannya dengan seorang dokter. Setelah kelahiran anak keduanya, Kang Sora membagikan peristiwa di balik maternity shoot yang […]
Pelajar Bengkulu Habisi Nyawa Temannya dengan 20 Luka Tusuk
Pelajar Bengkulu Habisi Nyawa Temannya dengan 20 Luka Tusuk Togel Hongkong – ZA (16), seorang pelajar di Kepahiang, Bengkulu menusuk temannya PO (17) hingga tewas. Ditemukan puluhan luka tusuk di tubuh korban. Kasat Reskrim Polres Kepahiang, IPTU Doni Juniansyah mengatakan, peristiwa itu terjadi di kosan punya korban yang berada di Desa Weskus, Kepahiang, Bengkulu terhadap […]















